
Our Services
At Dental and Facial Imaging, we go beyond traditional imaging to offer a diverse range of specialised services designed to meet the evolving demands of dental professionals. From high-resolution CBCT scans to advanced facial-driven imaging and cephalometric analysis, our solutions are crafted with precision and care to support superior patient outcomes.
Our services are not just about technology—they are about empowering you with the data and insights needed to plan and deliver exceptional dental care. With a focus on innovation and a commitment to quality, we provide seamless, reliable imaging that integrates effortlessly into your practice.
Explore our suite of services and discover how Dental and Facial Imaging can elevate your patient care to new heights.


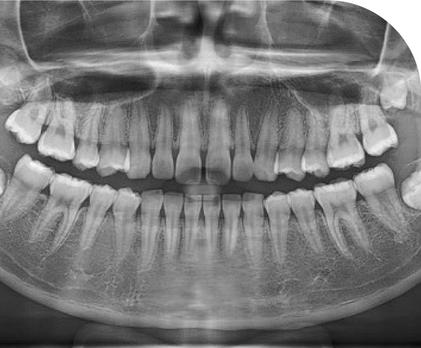
Clear Panorama
Comprehensive Dental Imaging
AMF (Adaptative Moving Focus) technology selects the optimal image layer to provide clear panoramic images, making it easy to identify the patient’s periodontal condition and lesion location.

TMJ
Diagnostic and Treatment Support
Enhance your practice with our specialised TMJ imaging services. We provide advanced diagnostic imaging, including X-Rays and CT scans, to support the accurate diagnosis of temporomandibular joint disorders. Our high-quality imaging aids you in developing effective treatment plans, helping to alleviate patient discomfort and improve jaw function. Partner with us to offer your patients the highest standard of care in TMJ disorder management.

ENDO
Advanced Endodontic Solutions
Provide your patients with top-tier endodontic care through our specialised services. Our advanced endodontic solutions, including state-of-the-art imaging and precision treatment techniques, ensure accurate diagnosis and effective management of root canal issues. Enhance your practice with our expert support, delivering optimal outcomes and patient satisfaction in endodontic treatment.

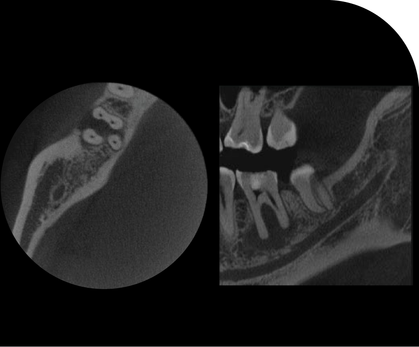
AIRWAY
Advanced Airway Imaging for Dental Treatments
We provide precise and comprehensive assessments of the airway using state-of-the-art imaging technology.This assists you in diagnosing and planning treatments for sleep apnea, orthodontics, and other dental-related airway issues. Our high-quality imaging ensures accurate visualisation, helping you deliver effective and targeted patient care. Enhance your treatment outcomes with our expert airway evaluation support.

LARGE LAT CEPH
Detailed Lateral Cephalometric Imaging
Optimise your orthodontic and orthognathic treatments with our Large Lat Ceph imaging service. We offer high-quality lateral cephalometric radiographs that provide detailed views of craniofacial structures. This precise imaging aids in accurate diagnosis, treatment planning, and progress tracking for your patients. Trust our advanced technology to enhance your practice with reliable and comprehensive cephalometric analysis.

CEPH TRACING
Precise Cephalometric Analysis
Enhance your diagnostic capabilities with our Ceph Tracing service. We provide meticulous cephalometric imaging to support accurate orthodontic and orthognathic treatment planning. Our detailed tracings help identify skeletal and dental relationships, ensuring precise assessments for optimal treatment outcomes. Partner with us for reliable and comprehensive cephalometric imaging, improving patient care and treatment efficiency.

3D FACE SCAN
Creating Virtual Patients with Precision
RAYFace stands as a premier 3D facial scanner on the market today, renowned for its exceptional speed and user-friendly interface, engineered specifically for the dental domain. Leveraging the patient’s facial features, RAYFace generates a Dental Avatar, merging intraoral scans and CT data to construct a comprehensive 3D representation of the patient’s face. This facilitates the creation of a 3D virtual patient for analysis and smile design, revolutionising dental practice.

SMILE DESIGN
Innovative 3D Smile Visualisation
Transform your consultations with our Smile Design service, powered by the advanced Rayface software. This cutting-edge tool enables dentists to quickly create and present realistic before-and-after 3D images of patients’ smiles. Show your patients a clear and accurate expectation of their post-treatment results, enhancing their confidence and satisfaction. Elevate your practice with our innovative smile visualisation technology, ensuring informed decision-making and improved patient engagement.

SEGMENTATION
Integrated Imaging Solutions
Maximise diagnostic precision with our Segmentation service. By seamlessly connecting CBCT scans, Rayface, and intraoral scans, we provide dentists with a comprehensive and flexible imaging solution. This integration allows you to view combined images or isolate specific elements as needed, offering unparalleled clarity and detail. Enhance your treatment planning and patient outcomes with our advanced, customisable imaging capabilities.

RAYTeams
Empowering Dental Professionals Worldwide
Experience seamless collaboration and efficient image storage with RAYTeams, our cloud-based software solution tailored for dental professionals. This innovative platform offers simple yet powerful workflows, allowing you to create, use, or customise workflows to suit your organisation’s needs. Explore RAYTeams Apps, developed in collaboration with leading partners worldwide. With powerful customisation options, RAYTeams provides the flexibility to optimise workflows for hospitals and clinics, revolutionising the way dental services are delivered.


